Contents

SynopsisCodesLook ForDiagnostic PearlsDifferential Diagnosis & PitfallsBest TestsManagement PearlsTherapyDrug Reaction DataReferences

Information for Patients

View all Images (5)

Potentially life-threatening emergency
Cardiac tamponade
Other Resources UpToDate PubMed
Potentially life-threatening emergency

Cardiac tamponade

Contributors: Kathyrn Voss MD, Ryan Hoefen MD, PhD, Bruce Lo MD
Other Resources UpToDate PubMed

Synopsis

Emergent Care / Stabilization:
  • Large bore intravenous (IV) access
  • Point of care ultrasound assessment
  • IV fluid administration
  • Inotropic support
  • Analgesia
  • Pericardiocentesis
Diagnosis Overview:
Cardiac tamponade is a true life-threatening medical emergency that is fortunately treatable with prompt diagnosis and treatment. Tamponade is a form of obstructive shock caused by elevated intrapericardial pressure that results in decreased cardiac filling and subsequent decreased cardiac output. Normally, the pericardium lacks compliance, and thus even a small increase in pericardial fluid can cause a rapid rise in pericardial pressure. If the pressure rises higher than the right-sided cardiac pressure, it causes decreased cardiac filling, ventricular interdependence, obstructive shock, and if untreated, cardiac arrest.

When intrapericardial pressure rises, it may yield in reduced cardiac filling secondary to changes in the right atrial-to-systemic venous pressure gradient. In severe cases, cardiac output is reduced to such an extent that the body is unable to maintain adequate systemic and coronary artery perfusion. Untreated, this leads to cardiovascular collapse and death.

All patients with pericardial effusions are at risk for tamponade. The causes of pericardial effusions are many and varied. They include, but are not limited to, trauma, malignancy, metabolic abnormalities (including uremia), pericarditis, tuberculosis, hypothyroidism, dissection, myocardial infarction, and iatrogenic injuries. Rapidly accumulating effusions pose a greater risk than do slower growing effusions.

The signs and symptoms of tamponade are nonspecific and are present in a variety of clinical scenarios. Primary symptoms of cardiac tamponade include dyspnea, chest pain, jugular venous distension, and tachycardia. Systemic blood pressure is often normal until severe tamponade is present due to compensatory changes of increased systemic vascular resistance. Tachypnea results from compensatory responses due to tissue hypoperfusions rather than as a primary pulmonary etiology. Other findings include cyanosis, peripheral leg edema, decreased heart sounds, fatigue, syncope, anuria, oliguria, pericardial friction rub, and pulsus paradoxus.

Rapidly accumulating pericardial effusions (eg, from trauma, iatrogenic causes, dissection) are more likely to present with symptoms similar to cardiogenic shock. These patients are likely hypotensive, tachycardic, and tachypneic, with cool extremities and other signs of poor perfusion. Slower growing effusions are more likely to present with shortness of breath, fatigue, relative hypotension, and edema.

Codes

ICD10CM:
I31.4 – Cardiac tamponade

SNOMEDCT:
35304003 – Cardiac Tamponade

Look For

Subscription Required

Diagnostic Pearls

Subscription Required

Differential Diagnosis & Pitfalls

To perform a comparison, select diagnoses from the classic differential

Subscription Required

Best Tests

Subscription Required

Management Pearls

Subscription Required

Therapy

Subscription Required

Drug Reaction Data

Subscription Required

References

Subscription Required

Last Reviewed:08/27/2022
Last Updated:11/29/2022
Copyright © 2025 VisualDx®. All rights reserved.
Potentially life-threatening emergency
Patient Information for Cardiac tamponade
Print E-Mail Images (5)
Contributors: Ryan Hoefen MD, PhD
Premium Feature
VisualDx Patient Handouts
Available in the Elite package
  • Improve treatment compliance
  • Reduce after-hours questions
  • Increase patient engagement and satisfaction
  • Written in clear, easy-to-understand language. No confusing jargon.
  • Available in English and Spanish
  • Print out or email directly to your patient
Copyright © 2025 VisualDx®. All rights reserved.
Potentially life-threatening emergency
Cardiac tamponade
A medical illustration showing key findings of Cardiac tamponade : Neck vein distension, Dyspnea
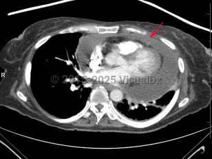
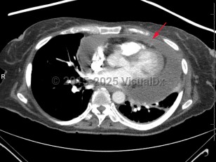
Imaging Studies image of Cardiac tamponade - imageId=7878229. Click to open in gallery.  caption: '<span>Axial CT image demonstrates a  large pericardial effusion which is flattening the cardiac ventricles  and concerning for tamponade.</span>'
Axial CT image demonstrates a large pericardial effusion which is flattening the cardiac ventricles and concerning for tamponade.
Copyright © 2025 VisualDx®. All rights reserved.