Tuberculosis in Adult
Alerts and Notices
Important News & Links
Synopsis
The World Health Organization (WHO) estimates that there were 8.2 million new TB diagnoses and 1.25 million deaths in 2023. That is the largest number of infections since WHO began monitoring global TB infections in 1995. There were over 9600 US cases of TB reported in 2023, with about 75% occurring in people not originally born in the United States. TB is more common in men than women. Most cases occur among people aged 15-59 years.
In the United States, wide disparities exist in the geographic distribution of cases, with most cases occurring in New York, New Jersey, California, Texas, and Florida. More than two-thirds of the patients come from urban areas with populations over 500 000. There are also racial and ethnic disparities in the burden of the disease, with clustering seen in the urban poor, people with alcohol use disorder, people who use intravenous (IV) drugs, undomiciled people, migrant farm workers, and prison inmates. Foreign-born persons from countries with a high prevalence of TB, HIV-infected patients, and employees and residents of long-term health care facilities, mental institutions, hospitals, and clinics are groups with an elevated risk of the disease.
The causative organism in the United States is usually M tuberculosis, an aerobic, slow growing, acid-fast bacillus. Humans are the only reservoir of infection. Almost all infections are acquired via inhalation of droplet nuclei aerosolized by coughing, sneezing, or talking that contain infectious particles. These particles dry while airborne and remain suspended for long periods; when inhaled, they can reach the terminal air passages. Most cases require prolonged and multiple aerosol exposures. Sputum smear positivity, frequent in the presence of lung cavitation, and the intensity and frequency of coughing determine the infectiousness of the source. Patients with AIDS and pulmonary TB may be highly contagious in the absence of cavitary lesions on chest x-ray due to very high bacillary load.
Rarely, M bovis can cause disease in humans, accounting for less than 2% of cases in the United States. Infection occurs most commonly via consumption of contaminated, unpasteurized dairy products. Those at increased risk also include dairy or cattle farmers, slaughterhouse workers, and hunters.
Mycobacterium africanum is typically seen in parts of Africa.
The tubercular bacilli from the infective droplet are taken up by the alveolar macrophages, particularly in the upper and mid-lung zones, which have the highest air flow rates. The breach of the bacteria into the subpleural interstitium causes a local inflammation and consolidation with an exudate and cellular infiltrate. This hallmark of primary pulmonary infection is called the Ghon focus. The bacilli are then rapidly taken up by the mediastinal lymph nodes (hilar and/or paratracheal), resulting in their enlargement and liquefaction, which liberates bacilli that can spread hematogenously throughout the body, seeding different organs. The Ghon focus and the mediastinal lymph node enlargement form the primary or Ranke complex. In most patients, the infection remains latent, being forever contained by the development of cell-mediated immunity that results within 3 weeks to 3 months in a positive skin (tuberculin) test. However, in 5%-10% of patients, mostly within 2-3 years, this initial infection evolves toward active TB. This progression is more common in immunosuppressed states such as AIDS and in children younger than 5 years. While pulmonary TB is the most common form of TB in adults and children, extrapulmonary TB can occur in any age group, although it is more common in younger age groups (eg, tuberculous lymphadenitis).
Several factors can trigger reactivation of latent infection and lead to active disease. HIV infection, poorly controlled diabetes, renal failure, malignancies, chemotherapy, steroid use, and malnutrition are some of the risk factors for reactivation. The use of tumor necrosis factor antagonists such as infliximab has been reported to trigger reactivation of TB. Although most cases in adults reflect reactivation of previous infection (also known as post-primary TB), exogenous reinfection is possible, especially in areas where TB is common.
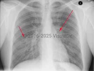
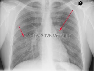
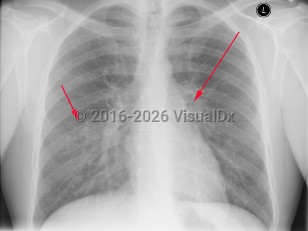
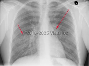
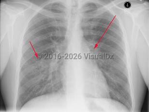
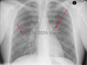
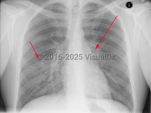
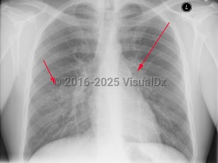
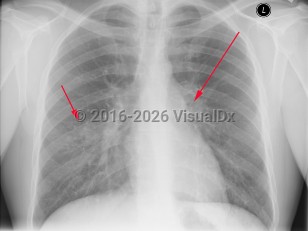
Symptoms of pulmonary TB are nonspecific and include anorexia, fatigue, anemia, weight loss, fevers, and night sweats. Cough is usually productive, and hemoptysis may occur. Pleural involvement may lead to chest pain and dyspnea. Physical examination findings include rales and signs of consolidation. Auscultation over cavities may reveal amphoric breath sounds (like the sound made by blowing across the mouth of a jar). Signs of pleural effusion may also be found. Pericarditis and pericardial effusion can occur.
The clinical manifestations of TB in HIV-infected patients correlate with the degree of immunosuppression. In general, patients with early HIV present with similar features to those without HIV. Patients with advanced HIV and TB may present with unusual manifestations such as the involvement of middle and lower lobes, negative purified protein derivative (PPD) testing, less cavitary disease, and more frequent extrapulmonary disease, especially lymphadenitis and pleurisy. In these patients, TB can also present with acute respiratory failure and acute respiratory distress syndrome. In older adults, newly acquired pulmonary TB may present with nonresolving pneumonitis of the middle and lower lobes. In countries with a high burden of HIV infection and TB, patients may present with sepsis and organ dysfunction.
Evidence of disseminated disease may be seen with a miliary pattern of lung infiltration, abnormal liver enzymes, especially alkaline phosphatase, pancytopenia, and adrenal insufficiency. Extrapulmonary sites of TB include tuberculous lymphadenitis, central nervous system involvement (eg, tuberculous meningitis [see bacterial meningitis] and/or tuberculomas [granulomatous lesions that occur by hematogenous spread of TB, often in the brain]), genitourinary TB (including the testes), and gastrointestinal TB, although almost any body location can be involved.
Related topics: bacterial meningitis, cutaneous tuberculosis, tuberculous enteritis, tuberculous spondylitis
Codes
A15.9 – Respiratory tuberculosis unspecified
SNOMEDCT:
56717001 – Tuberculosis
Look For
Subscription Required
Diagnostic Pearls
Subscription Required
Differential Diagnosis & Pitfalls
Subscription Required
Best Tests
Subscription Required
Management Pearls
Subscription Required
Therapy
Subscription Required
Drug Reaction Data
Subscription Required
References
Subscription Required
Last Updated:01/20/2026
