- Large bore intravenous (IV) access
- Point of care ultrasound assessment
- IV fluid administration
- Inotropic support
- Analgesia
- Pericardiocentesis
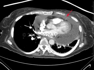
Cardiac tamponade is a true life-threatening medical emergency that is fortunately treatable with prompt diagnosis and treatment. Tamponade is a form of obstructive shock caused by elevated intrapericardial pressure that results in decreased cardiac filling and subsequent decreased cardiac output. Normally, the pericardium lacks compliance, and thus even a small increase in pericardial fluid can cause a rapid rise in pericardial pressure. If the pressure rises higher than the right-sided cardiac pressure, it causes decreased cardiac filling, ventricular interdependence, obstructive shock, and if untreated, cardiac arrest.
When intrapericardial pressure rises, it may yield in reduced cardiac filling secondary to changes in the right atrial-to-systemic venous pressure gradient. In severe cases, cardiac output is reduced to such an extent that the body is unable to maintain adequate systemic and coronary artery perfusion. Untreated, this leads to cardiovascular collapse and death.
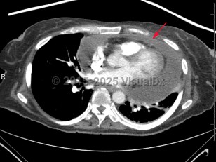
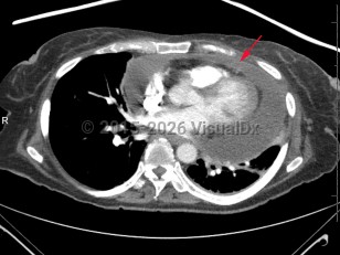
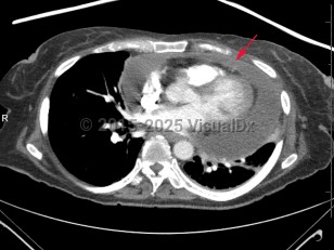
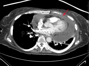
All patients with pericardial effusions are at risk for tamponade. The causes of pericardial effusions are many and varied. They include, but are not limited to, trauma, malignancy, metabolic abnormalities (including uremia), pericarditis, tuberculosis, hypothyroidism, dissection, myocardial infarction, and iatrogenic injuries. Rapidly accumulating effusions pose a greater risk than do slower growing effusions.
The signs and symptoms of tamponade are nonspecific and are present in a variety of clinical scenarios. Primary symptoms of cardiac tamponade include dyspnea, chest pain, jugular venous distension, and tachycardia. Systemic blood pressure is often normal until severe tamponade is present due to compensatory changes of increased systemic vascular resistance. Tachypnea results from compensatory responses due to tissue hypoperfusions rather than as a primary pulmonary etiology. Other findings include cyanosis, peripheral leg edema, decreased heart sounds, fatigue, syncope, anuria, oliguria, pericardial friction rub, and pulsus paradoxus.
Rapidly accumulating pericardial effusions (eg, from trauma, iatrogenic causes, dissection) are more likely to present with symptoms similar to cardiogenic shock. These patients are likely hypotensive, tachycardic, and tachypneic, with cool extremities and other signs of poor perfusion. Slower growing effusions are more likely to present with shortness of breath, fatigue, relative hypotension, and edema.

Patient Information for