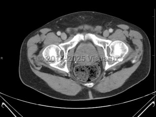
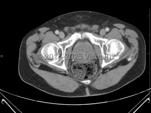
Benign prostatic hyperplasia
Alerts and Notices
Important News & Links
Synopsis
Management includes modifications in routine (limiting fluids at bedtime, caffeine intake, and diuretics) and medications. BPH can cause acute urinary retention, which requires catheterization. Patients with poor results may seek surgical treatment such as prostatic urethral lift, transurethral resection of the prostate, transurethral incision of the prostate, or prostate laser surgery.
Codes
N40.0 – Enlarged prostate without lower urinary tract symptoms
SNOMEDCT:
266569009 – Benign Prostatic Hyperplasia
Look For
Subscription Required
Diagnostic Pearls
Subscription Required
Differential Diagnosis & Pitfalls
Subscription Required
Best Tests
Subscription Required
Management Pearls
Subscription Required
Therapy
Subscription Required
Drug Reaction Data
Subscription Required
References
Subscription Required
Last Updated:08/13/2024
Patient Information for Benign prostatic hyperplasia - Improve treatment compliance
- Reduce after-hours questions
- Increase patient engagement and satisfaction
- Written in clear, easy-to-understand language. No confusing jargon.
- Available in English and Spanish
- Print out or email directly to your patient
