Prostate cancer
Alerts and Notices
Important News & Links
Synopsis
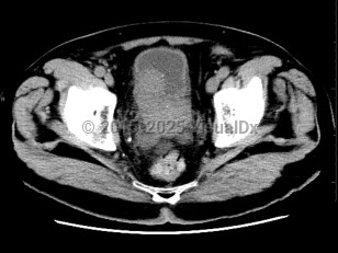
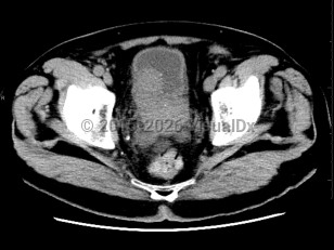
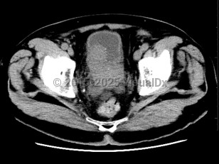
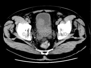
Most prostate cancers are identified at the local stage through annual screenings, and the majority of patients are asymptomatic at that stage. At later stages, physical findings may include perineal pain and urinary changes (eg, frequency, retention, nocturia). Urinary changes in men are more frequently the result of benign prostate conditions, which are sometimes found as comorbidities. Physical examination may reveal areas of induration, asymmetry, and/or prostate nodule. Diagnosis is confirmed via prostate biopsy.
Risk factors include advancing age, family history, obesity, poor diet, elevated insulin levels, and vitamin E supplementation. Disease is more common in individuals of African descent. Individual susceptibility genes are now being identified. Men with BRCA mutations, primarily BRCA2 mutations, are at increased risk of prostate cancer. Treatment depends on the level of risk and the age of the patient.
If cancer has spread, physical findings may include bone pain or pathologic fracture. See metastatic prostate carcinoma.
Codes
C61 – Malignant neoplasm of prostate
SNOMEDCT:
399068003 – Malignant tumor of prostate
Look For
Subscription Required
Diagnostic Pearls
Subscription Required
Differential Diagnosis & Pitfalls
Subscription Required
Best Tests
Subscription Required
Management Pearls
Subscription Required
Therapy
Subscription Required
Drug Reaction Data
Subscription Required
References
Subscription Required
Last Updated:04/25/2023
