Search Results
DDx Strength: Weak
Vomiting, Headache, 50-59 year old Female

Edit Findings
High-altitude cerebral edema
Migraine headache
Subarachnoid hemorrhageSubarachnoid hemorrhage
Basilar skull fracture
Cerebral edemaCerebral edema
Hydrocephalus
Streptococcal pharyngitisStreptococcal pharyngitis
Concussion
Hypertensive emergency
Cyclic vomiting syndrome
Hemicrania continua
Yellow fever
Cerebral venous thrombosis
Chandipura virus disease
Idiopathic intracranial hypertensionIdiopathic intracranial hypertension
Cluster headache
Norovirus infection
Sinusitis
Viral gastroenteritis
Crimean-Congo hemorrhagic fever
Primary amebic encephalitis
Epidural intracranial hematomaEpidural intracranial hematoma
PapilledemaPapilledema
Carbon monoxide poisoning
Heat stroke
Meningoencephalitis
Subdural hematoma
Synthetic cannabinoid poisoning
Hypernatremia
Meniere disease
Post-COVID conditions
Sympathomimetic toxicity
Cholera
Acute angle-closure glaucomaAcute angle-closure glaucoma
Angiostrongylus cantonensis infection
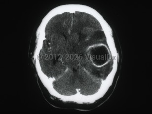
Brain abscessBrain abscess
Chikungunya
Dengue feverDengue fever
EhrlichiosisEhrlichiosis
Lymphocytic choriomeningitis
Mushroom poisoning
Posterior fossa hematoma
Scarlet feverScarlet fever
West Nile virusWest Nile virus
African trypanosomiasis
Bacterial meningitisBacterial meningitis
Endemic typhus
Enteric feverEnteric fever
Leptospirosis
MeningiomaMeningioma
Pituitary tumor
Viral encephalitides
Alpha-gal syndrome
MeaslesMeasles
Pertussis
Traumatic glaucoma
Japanese encephalitis
Powassan virus encephalitis
Subdural empyemaSubdural empyema
CraniopharyngiomaCraniopharyngioma