Search Results
DDx Strength: Weak
Vomiting, Diarrhea, 50-59 year old Female

Edit Findings
Cholera
Norovirus infection
Viral gastroenteritis
Gastroenteritis
Abrin poisoning
Acute graft-versus-host diseaseAcute graft-versus-host disease
Bacillus cereus food poisoning
Leptospirosis
Chandipura virus disease
COVID-19
Irritable bowel syndrome
Ulcerative colitis
Giardiasis
Campylobacter infections
Celiac disease
Crohn disease
Echovirus infectionEchovirus infection
Hypernatremia
Post-COVID conditions
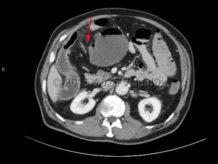
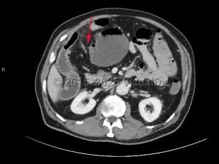
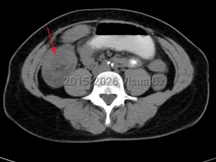
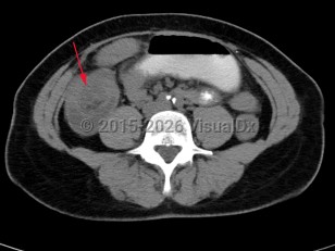
Small bowel obstruction
Sympathomimetic toxicity
Diarrheagenic Escherichia coli
Acute radiation enteritis
Hepatitis A virus infection
Mushroom poisoning
Neutropenic enterocolitisNeutropenic enterocolitis
Salmonellosis
Staphylococcal food poisoning
Thyroid storm
Toxic shock syndromeToxic shock syndrome
Vibrio vulnificus infectionVibrio vulnificus infection
Balantidiasis
Enteric feverEnteric fever
Yellow fever
Yersinia enterocolitica infectionYersinia enterocolitica infection
Alpha-gal syndrome
Hyperkalemia
ListeriosisListeriosis
Shigellosis
Acute radiation syndromeAcute radiation syndrome
Adamsite poisoning
Organophosphate poisoning
Mast cell activation syndrome
Short bowel syndrome
Tropical sprue
Tuberculous enteritis
Intussusception
Opisthorchiasis
Ebola
Crimean-Congo hemorrhagic fever
Reye syndrome
Somatostatinoma
Human parechovirus infection
Cyclic vomiting syndrome
Lactose intolerance
Anaphylaxis
Food allergy
Alcohol use disorderAlcohol use disorder
Common cold
DehydrationDehydration