Search Results
DDx Strength: Weak
Low back pain, Neuropathy peripheral, 50-59 year old Female

Edit Findings
Hereditary sensory and autonomic neuropathies
Axial low back pain
Lumbar radiculopathy
Lyme diseaseLyme disease
Parkinson disease
Cauda equina syndrome
Osteoporotic vertebral compression fracture
Spondylolysis
Acute intermittent porphyria
Acute motor axonal neuropathy
Ankylosing spondylitis
Spondylolisthesis
Chronic inflammatory demyelinating polyneuropathy
Stibine poisoning
Psoas abscess
Rabies
Synthetic cannabinoid poisoning
Lumbar spinal stenosis
Urinary tract infection
Acromegaly
EhrlichiosisEhrlichiosis
Hodgkin lymphomaHodgkin lymphoma
Multiple myelomaMultiple myeloma
Solitary plasmacytoma of bone
Variegate porphyriaVariegate porphyria
Pyelonephritis
Sacroiliitis
Toxic alcohol poisoning
Spinal epidural abscess
Tuberculous spondylitis
DiastematomyeliaDiastematomyelia
Psoriatic arthritisPsoriatic arthritis
Cystitis
Generalized anxiety disorder
GoutGout
Herpes zosterHerpes zoster
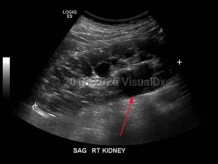
Hydronephrosis
Postherpetic neuralgia
Renal calculus
Transverse myelitis
Traumatic neuromaTraumatic neuroma
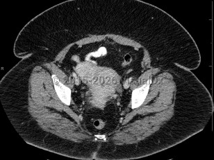
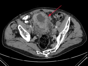
Uterine fibroidsUterine fibroids
Uterovaginal prolapse
Morvan syndrome
LymphomaLymphoma
Polycystic kidney diseasePolycystic kidney disease
Abdominal aortic aneurysmAbdominal aortic aneurysm
Acute kidney injury
Adult physical abuse
Adult spinal deformity
Aortic dissectionAortic dissection
Biliary calculus
Bladder cancerBladder cancer
EndometriosisEndometriosis
Fecal impaction
Fibromyalgia
Leg length discrepancy
Major depressive disorder
Osteomyelitis
Osteoporosis