Search Results
DDx Strength: Weak
Low back pain, Anemia, 50-59 year old Female

Edit Findings
Lassa fever
Psoas abscess
Axial low back pain
Lumbar radiculopathy
Biliary calculus
Crohn disease
Sickle cell acute pain crisis
Cauda equina syndrome
Osteoporotic vertebral compression fracture
Spondylolysis
Multiple myelomaMultiple myeloma
Sickle cell diseaseSickle cell disease
Cholesterol emboliCholesterol emboli
Ankylosing spondylitis
Spondylolisthesis
Preeclampsia
Uterine fibroidsUterine fibroids
Acute myeloid leukemiaAcute myeloid leukemia
GI bleeding
Acute kidney injury
Cervical cancer
Fecal impaction
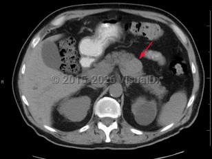
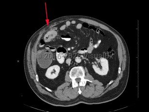
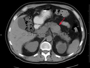
Pancreatic carcinomaPancreatic carcinoma
Renal papillary necrosis
Synthetic cannabinoid poisoning
Ulcerative colitis
Lumbar spinal stenosis
Urinary tract infection
Acute lymphoid leukemiaAcute lymphoid leukemia
Balkan endemic nephropathy
Cold agglutinin diseaseCold agglutinin disease
Malaria
Reactive arthritisReactive arthritis
Retroperitoneal abscess
Addison diseaseAddison disease
Cavernous hemangiomaCavernous hemangioma
CoccidioidomycosisCoccidioidomycosis
EhrlichiosisEhrlichiosis
Endometritis
Hodgkin lymphomaHodgkin lymphoma
Mushroom poisoning
PyomyositisPyomyositis
Renal vein thrombosis
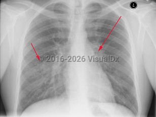
TuberculosisTuberculosis
West Nile virusWest Nile virus
Pyelonephritis
Sacroiliitis
Stibine poisoning
NeuroblastomaNeuroblastoma
Retroperitoneal fibrosis
Rhabdoid tumor
Spinal epidural abscess
Tuberculous spondylitis
Glucose-6-phosphate dehydrogenase deficiency
Hemolytic anemia
Colon cancerColon cancer
Uterine cancer
EndocarditisEndocarditis
Lyme diseaseLyme disease
Non-Hodgkin lymphomaNon-Hodgkin lymphoma