Search Results
DDx Strength: Weak
Fever, Headache, 50-59 year old Female

Edit Findings
Enteric feverEnteric fever
InfluenzaInfluenza
Sinusitis
Oropouche fever
LegionellosisLegionellosis
Streptococcal pharyngitisStreptococcal pharyngitis
Chikungunya
Dengue feverDengue fever
EhrlichiosisEhrlichiosis
Endemic typhus
Scarlet feverScarlet fever
Yellow fever
MeaslesMeasles
Pneumonic plaguePneumonic plague
Chandipura virus disease
COVID-19
Crimean-Congo hemorrhagic fever
Primary amebic encephalitis
Rocky Mountain spotted feverRocky Mountain spotted fever
Heat stroke
African tick bite fever
African trypanosomiasis
Anaplasmosis
Aseptic meningitis
Bacterial meningitisBacterial meningitis
Herpes simplex virus encephalitisHerpes simplex virus encephalitis
Leptospirosis
Lymphocytic choriomeningitis
Malaria
Mediterranean spotted feverMediterranean spotted fever
Saint Louis encephalitis
VaricellaVaricella
West Nile virusWest Nile virus
Angiostrongylus cantonensis infection
Epstein-Barr virus infection
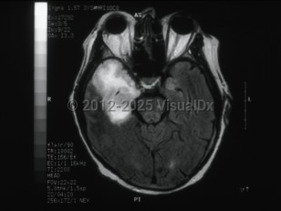
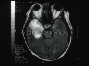
Orbital cellulitisOrbital cellulitis
Lassa fever
Argentine hemorrhagic fever
Avian influenzaAvian influenza
Japanese encephalitis
Louse-borne relapsing fever
Powassan virus encephalitis
Psittacosis
Subdural empyemaSubdural empyema
Western equine encephalitis
Familial Mediterranean feverFamilial Mediterranean fever
Mastoiditis
RubellaRubella
Spinal epidural abscess
Sudden conjunctivitis, lymphopenia, and rash combined with hemodynamic changes
TrichinellosisTrichinellosis
Hemophagocytic lymphohistiocytosisHemophagocytic lymphohistiocytosis
Alcohol use disorderAlcohol use disorder
Viral exanthemViral exanthem
Coxsackie viral infection
Meningoencephalitis
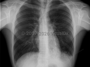
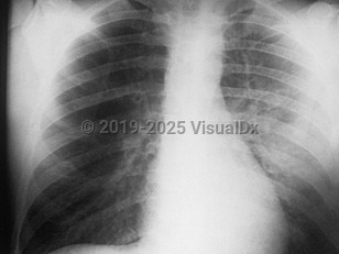
Viral pneumonia
Anticholinergic syndrome
Benzodiazepine withdrawal syndrome
Cocaine intoxication and use disorder