Search Results
DDx Strength: Weak
Fever, Abdominal pain, 50-59 year old Female

Edit Findings
Acute cholangitisAcute cholangitis
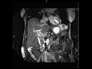
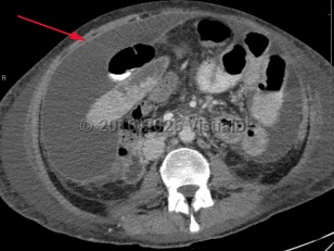
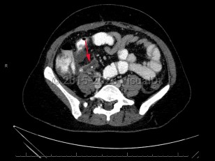
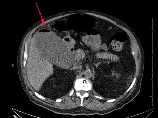
Acute appendicitisAcute appendicitis
Enteric feverEnteric fever
Adult-onset Still diseaseAdult-onset Still disease
Kawasaki diseaseKawasaki disease
Diverticular disease
Crimean-Congo hemorrhagic fever
PeritonitisPeritonitis
Ovarian torsionOvarian torsion
Rocky Mountain spotted feverRocky Mountain spotted fever
Streptococcal pharyngitisStreptococcal pharyngitis
Bacterial sepsisBacterial sepsis
Bowel perforationBowel perforation
Anaplasmosis
Dengue feverDengue fever
EhrlichiosisEhrlichiosis
Endemic typhus
EVALI
Intraabdominal abscessIntraabdominal abscess
Epstein-Barr virus infection
Leptospirosis
Malaria
Scarlet feverScarlet fever
Shigellosis
Subdiaphragmatic abscess
Yellow fever
Yersinia enterocolitica infectionYersinia enterocolitica infection
Lassa fever
ListeriosisListeriosis
Loin pain-hematuria syndrome
Omental torsion
Acute mesenteric ischemia
Argentine hemorrhagic fever
Avian influenzaAvian influenza
Brazilian purpuric fever
Familial Mediterranean feverFamilial Mediterranean fever
Emphysematous cholecystitisEmphysematous cholecystitis
Immunoglobulin A vasculitisImmunoglobulin A vasculitis
Louse-borne relapsing fever
Tubo-ovarian abscess
Multisystem inflammatory syndrome in adults
Psoas abscess
Oropouche fever
Ebola
Hemophagocytic lymphohistiocytosisHemophagocytic lymphohistiocytosis
Hereditary sensory and autonomic neuropathies
Norovirus infection
Alcohol use disorderAlcohol use disorder
COVID-19
Gastroenteritis
Helicobacter pylori infection
Ureteral calculus
Viral gastroenteritis
Campylobacter infections
Coxsackie viral infection
Cryptosporidiosis
Hospital-acquired pneumonia
LegionellosisLegionellosis
Pelvic inflammatory disease
Abdominal aortic aneurysmAbdominal aortic aneurysm