Search Results
DDx Strength: Weak
Anemia, Arthralgia, 50-59 year old Female

Edit Findings
Rheumatoid arthritis
Sickle cell acute pain crisis
Crohn disease
Reactive arthritisReactive arthritis
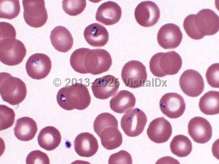
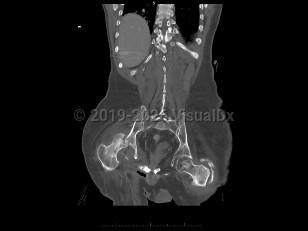
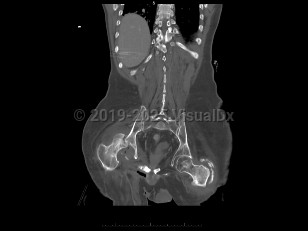
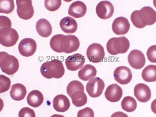
Sickle cell diseaseSickle cell disease
Endemic typhus
Parvovirus B19 infectionParvovirus B19 infection
Adult-onset Still diseaseAdult-onset Still disease
PAPA syndrome
Acute myeloid leukemiaAcute myeloid leukemia
Chronic myeloid leukemiaChronic myeloid leukemia
Lyme diseaseLyme disease
SarcoidosisSarcoidosis
Systemic lupus erythematosusSystemic lupus erythematosus
Ulcerative colitis
VasculitisVasculitis
Venous malformationVenous malformation
Mixed connective tissue disease
Acute lymphoid leukemiaAcute lymphoid leukemia
CoccidioidomycosisCoccidioidomycosis
Malaria
Pustular psoriasisPustular psoriasis
Septic arthritisSeptic arthritis
Acute promyelocytic leukemia
Angioimmunoblastic lymphadenopathyAngioimmunoblastic lymphadenopathy
Autoimmune hepatitis
Chikungunya
Chronic graft-versus-host diseaseChronic graft-versus-host disease
Erythrodermic psoriasisErythrodermic psoriasis
Fabry diseaseFabry disease
Glomerulonephritis
Human immunodeficiency virus disease
Hyperglobulinemic purpura of WaldenströmHyperglobulinemic purpura of Waldenström
LeprosyLeprosy
Stevens-Johnson syndromeStevens-Johnson syndrome
West Nile virusWest Nile virus
Felty syndromeFelty syndrome
Immunoglobulin A vasculitisImmunoglobulin A vasculitis
Microscopic polyangiitis
Antiglomerular basement membrane disease
Leprosy-Lucio phenomenonLeprosy-Lucio phenomenon
Q fever
Wilson diseaseWilson disease
CANDLE syndrome
Majeed syndrome
Toxic epidermal necrolysis-like lupus erythematosus
Yao syndrome
HypothyroidismHypothyroidism
Rocky Mountain spotted feverRocky Mountain spotted fever
Sjögren syndromeSjögren syndrome
EndocarditisEndocarditis
Synthetic cannabinoid poisoning
Chronic kidney diseaseChronic kidney disease
African trypanosomiasis
BrucellosisBrucellosis
Polyarteritis nodosaPolyarteritis nodosa
BabesiosisBabesiosis
CryoglobulinemiaCryoglobulinemia
Enteric feverEnteric fever
HistoplasmosisHistoplasmosis