Contents

SynopsisCodesLook ForDiagnostic PearlsDifferential Diagnosis & PitfallsBest TestsManagement PearlsTherapyReferences

View all Images (4)

Pheochromocytoma
Other Resources UpToDate PubMed

Pheochromocytoma

Contributors: Abhijeet Waghray MD, Paritosh Prasad MD
Other Resources UpToDate PubMed

Synopsis

Pheochromocytoma (PCC) is a rare catecholamine-secreting neoplasm of adrenal origin; when it is extra-adrenal, it is referred to as paraganglioma. PCC is known as the "great masquerader" because of its similarity in clinical presentation to many other conditions. Up to 15% of patients may be asymptomatic. The most common presenting symptoms are hypertension (including labile hypertension), palpitations, increased sweating, severe headache, tremors, pallor, and dyspnea. Atypical symptoms include anxiety, abdominal pain, nausea, vomiting, constipation, insomnia, and weight loss. The prevalence of PCC in patients with hypertension is less than 0.2%. Rarely, paragangliomas may occur in the heart. Cardiovascular complications of catecholamine excess are rare but can lead to stress cardiomyopathy. Clinical presentation is characterized by transient duration of symptoms (eg, 15-20 minutes) that may recur several times a day. Physical exertion (moderate to extreme exercise) or bowel movements may provoke symptoms. Sometimes a pheochromocytoma is found incidentally during a workup.

The majority of PCCs are intra-adrenal and solitary. Approximately 10% of all catecholamine-secreting tumors will be malignant. PCC may occur at any age but has the highest prevalence in individuals aged 20-50 years.

Rarely, Pacak-Zhuang syndrome may be seen in patients with early-onset polycythemia and paragangliomas.

Treatment involves surgical removal of the tumor after adequate medical therapy is provided, generally with combined alpha- and beta-adrenergic blockade. Tumors can recur in less than 10% of patients. Surgery may help return norepinephrine and epinephrine levels to normal. Despite perioperative management, acute hypertensive crises may develop during surgical resection. Management of acute hypertensive crisis due to pheochromocytoma includes nitroprusside, phentolamine, or nicardipine.

In patients with malignant tumors who have undergone surgery, the 5-year survival rate is less than 50%.

Related topics: von Hippel-Lindau disease, multiple endocrine neoplasia type 2A, multiple endocrine neoplasia type 2B

Codes

ICD10CM:
C74.10 – Malignant neoplasm of medulla of unspecified adrenal gland

SNOMEDCT:
302835009 – Pheochromocytoma

Look For

Subscription Required

Diagnostic Pearls

Subscription Required

Differential Diagnosis & Pitfalls

To perform a comparison, select diagnoses from the classic differential

Subscription Required

Best Tests

Subscription Required

Management Pearls

Subscription Required

Therapy

Subscription Required

References

Subscription Required

Last Reviewed:03/06/2018
Last Updated:01/25/2023
Copyright © 2026 VisualDx®. All rights reserved.
Pheochromocytoma
A medical illustration showing key findings of Pheochromocytoma : Headache, HR increased, BP increased, Excessive sweating
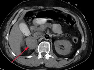
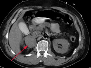
Imaging Studies image of Pheochromocytoma - imageId=7911948. Click to open in gallery.  caption: 'Patient presented with labile blood pressure. Unenhanced CT scan of the abdomen demonstrates a large complex right adrenal mass, surgically proven pheochromocytoma.'
Patient presented with labile blood pressure. Unenhanced CT scan of the abdomen demonstrates a large complex right adrenal mass, surgically proven pheochromocytoma.
Copyright © 2026 VisualDx®. All rights reserved.