Contents

SynopsisCodesLook ForDiagnostic PearlsDifferential Diagnosis & PitfallsBest TestsManagement PearlsTherapyReferences

View all Images (3)

Perirectal abscess
Other Resources UpToDate PubMed

Perirectal abscess

Contributors: Neil Mendoza MD, Paritosh Prasad MD
Other Resources UpToDate PubMed

Synopsis

A perirectal abscess is a collection of pus in the perianal area resulting from progression of an infected anal gland.

Perirectal abscesses develop when an anal crypt becomes obstructed, allowing bacterial overgrowth. Complex anorectal abscesses are deeper and classified based on their anatomic location. The American Association for the Surgery of Trauma describes 5 grades of perirectal abscesses: perianal abscess, intersphincteric abscess or ischiorectal abscess, horseshoe abscess, supralevator abscess, and necrotizing soft tissue infection.

Patients complain of severe constant pain in the anal area. Fever and malaise are common. There may be associated pain on defecation. On examination, which should include a digital rectal examination, there may be a palpable area of fluctuance. There may also be overlying cellulitis. Patients with severe necrotizing infection will appear toxic.

Laboratory evaluation may reveal leukocytosis. Patients who suffer from Crohn disease are at increased risk.

The diagnosis is made based on the history and a compatible physical examination. Imaging studies, including computed tomography imaging, may also be helpful.

Drainage of the abscess is the mainstay of treatment. Therapy with antibiotics is often prescribed concurrently. Approximately half of patients will develop a chronic fistula.

Codes

ICD10CM:
K61.1 – Rectal abscess

SNOMEDCT:
91669008 – Perirectal abscess

Look For

Subscription Required

Diagnostic Pearls

Subscription Required

Differential Diagnosis & Pitfalls

To perform a comparison, select diagnoses from the classic differential

Subscription Required

Best Tests

Subscription Required

Management Pearls

Subscription Required

Therapy

Subscription Required

References

Subscription Required

Last Updated:07/12/2016
Copyright © 2026 VisualDx®. All rights reserved.
Perirectal abscess
A medical illustration showing key findings of Perirectal abscess : Fever, Erythema, Rectal mass, Rectal pain, Painful defecation, Tenesmus
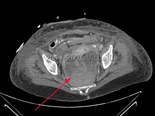
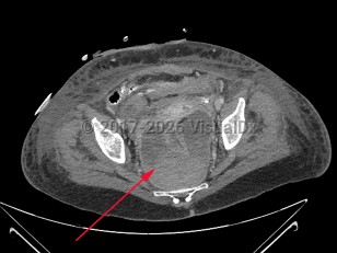
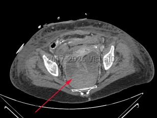
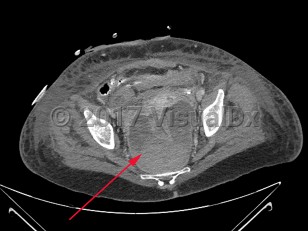
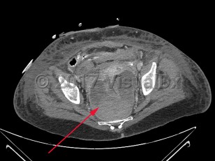
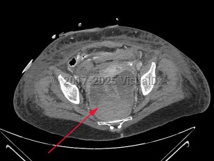
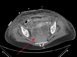
Imaging Studies image of Perirectal abscess - imageId=7915658. Click to open in gallery.  caption: '<span>Axial CT image of a  large perirectal abscess with hemorrhage in a patient recently  postoperative with rectal perforation.</span>'
Axial CT image of a large perirectal abscess with hemorrhage in a patient recently postoperative with rectal perforation.
Copyright © 2026 VisualDx®. All rights reserved.