Emergency: requires immediate attention
Brain stem stroke
Alerts and Notices
Important News & Links
Synopsis
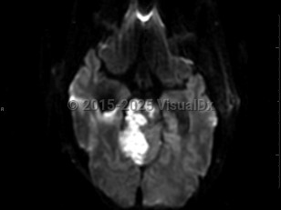
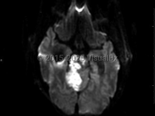
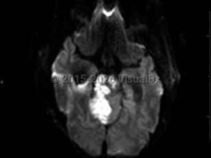
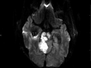
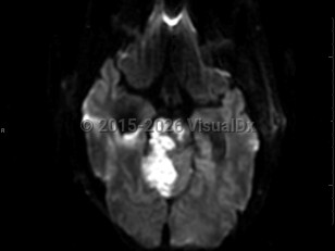
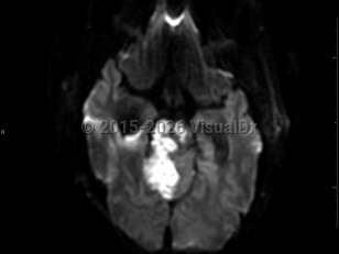
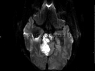
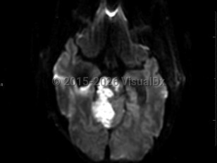
A brain stem stroke involves the brain stem, which is composed of the midbrain, pons, and medulla oblongata. Symptoms are typically acute in onset and depend on the location of injury but may include cranial nerve dysfunction resulting in eye movement abnormalities, diplopia, facial weakness or sensory loss, vertigo or dizziness, dysarthria, dysphagia, and/or tongue deviation. There may be decreased level of consciousness, abnormal breathing, nausea, body weakness, imbalance, or coordination problems as well. There are several named syndromes characterized by location of the stroke and resulting symptoms; locked-in syndrome is the most serious. Prognosis depends on the location and size of the stroke as well as timely evaluation and treatment. The brain stem gets its blood supply largely from the posterior circulation (vertebrobasilar system) with little collateral supply.
Risk factors for brain stem strokes are generally the same risk factors as for other cerebrovascular disease, mainly hypertension, hyperlipidemia, diabetes, and tobacco abuse. Increased urinary sodium is associated with increased risk. A history of atrial fibrillation or a history of a hypercoagulable state are also risk factors. Additionally, sympathomimetics, including cocaine, predispose individuals to hemorrhagic strokes.
Related topic: drug-induced stroke
Risk factors for brain stem strokes are generally the same risk factors as for other cerebrovascular disease, mainly hypertension, hyperlipidemia, diabetes, and tobacco abuse. Increased urinary sodium is associated with increased risk. A history of atrial fibrillation or a history of a hypercoagulable state are also risk factors. Additionally, sympathomimetics, including cocaine, predispose individuals to hemorrhagic strokes.
Related topic: drug-induced stroke
Codes
ICD10CM:
G46.3 – Brain stem stroke syndrome
SNOMEDCT:
95457000 – Brain stem infarction
G46.3 – Brain stem stroke syndrome
SNOMEDCT:
95457000 – Brain stem infarction
Look For
Subscription Required
Diagnostic Pearls
Subscription Required
Differential Diagnosis & Pitfalls
To perform a comparison, select diagnoses from the classic differential
Subscription Required
Best Tests
Subscription Required
Management Pearls
Subscription Required
Therapy
Subscription Required
References
Subscription Required
Last Reviewed:11/05/2017
Last Updated:12/08/2021
Last Updated:12/08/2021
Emergency: requires immediate attention
Brain stem stroke
