Emergency: requires immediate attention
Vertebral artery dissection
Alerts and Notices
Important News & Links
Synopsis
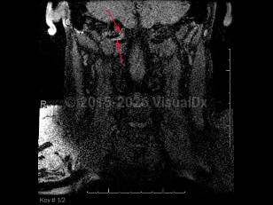
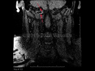
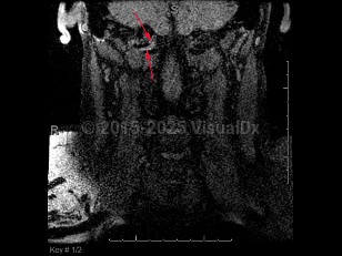
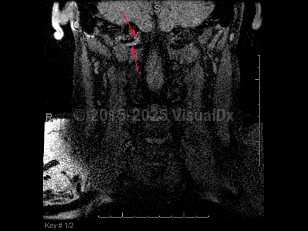
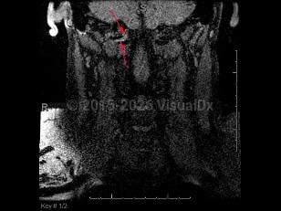
Vertebral artery dissection (VAD) is splitting of the vertebral artery vessel wall, which can result in intramural hemorrhage / thrombus and expanding hematoma formation. This can lead to vessel occlusion or thromboembolism causing cerebellar and brainstem ischemia. Compromise of the vessel wall can also lead to subarachnoid hemorrhage. It is most commonly seen after a head or neck injury, including spinal manipulation, although it can occur spontaneously. It is an important cause of stroke in younger patients (under 50 years). The incidence of stroke in VAD has been estimated at 1%-8%.
Early symptoms can include occipital headache and neck pain. Focal neurological deficits related to vertebral artery territory ischemia can occur initially or after a latent period (usually within 3-7 days). These symptoms include ipsilateral facial numbness, contralateral body numbness, ataxia, nystagmus, vertigo, nausea / vomiting, dysarthria, dysphagia, hiccups, or ipsilateral Horner syndrome.
Prognosis is good overall but primarily hinges on the severity of the resulting ischemic event. If the VAD is complicated by thromboembolism, symptoms can include cortical vision loss and altered mental status. In acute cases, especially when accompanied by intracranial extension, mortality can approach 10%.
Early symptoms can include occipital headache and neck pain. Focal neurological deficits related to vertebral artery territory ischemia can occur initially or after a latent period (usually within 3-7 days). These symptoms include ipsilateral facial numbness, contralateral body numbness, ataxia, nystagmus, vertigo, nausea / vomiting, dysarthria, dysphagia, hiccups, or ipsilateral Horner syndrome.
Prognosis is good overall but primarily hinges on the severity of the resulting ischemic event. If the VAD is complicated by thromboembolism, symptoms can include cortical vision loss and altered mental status. In acute cases, especially when accompanied by intracranial extension, mortality can approach 10%.
Codes
ICD10CM:
I77.74 – Dissection of vertebral artery
SNOMEDCT:
230730001 – Vertebral artery dissection
I77.74 – Dissection of vertebral artery
SNOMEDCT:
230730001 – Vertebral artery dissection
Look For
Subscription Required
Diagnostic Pearls
Subscription Required
Differential Diagnosis & Pitfalls
To perform a comparison, select diagnoses from the classic differential
Subscription Required
Best Tests
Subscription Required
Management Pearls
Subscription Required
Therapy
Subscription Required
References
Subscription Required
Last Reviewed:04/08/2018
Last Updated:04/08/2018
Last Updated:04/08/2018
Emergency: requires immediate attention
Vertebral artery dissection
