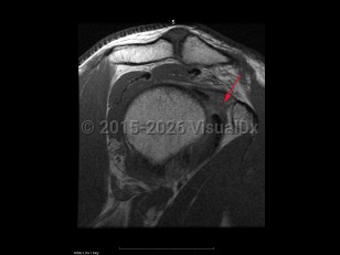
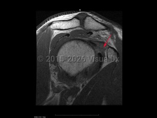
Classic history and presentation: Adhesive capsulitis typically follows a course of 3 phases. First (2-9 months), there is an insidious onset of pain that eventually becomes severe and disabling. The pain tends to be worse at night and stiffness gradually onsets. Second (4-12 months) is the contracture phase, which is characterized by stiffness and progressive loss of motion that interferes with activities of daily living. Pain typically improves in this phase. Third (5-24 months) is the recovery or "thawing" phase in which the symptoms gradually alleviate and there is an improvement in range of motion (ROM).
Prevalence:
- Age – Primarily affects patients in their 50s and 60s.
- Sex / gender – 70% of patients are women.
- Type 1 diabetes
- Thyroid disorder
- Prolonged immobilization
- Parkinson disease
- Previous episode of adhesive capsulitis
Grade / classification system: Adhesive capsulitis can be classified as primary, which is idiopathic, and secondary, which is onset due to trauma or immobilization.
