Contents

SynopsisCodesLook ForDiagnostic PearlsDifferential Diagnosis & PitfallsBest TestsManagement PearlsTherapyDrug Reaction DataReferences

View all Images (6)

Hepatic hemangioma
Other Resources UpToDate PubMed

Hepatic hemangioma

Contributors: Abhijeet Waghray MD, Nishant H. Patel MD, Desiree Rivera-Nieves MD, Khaled Bittar MD, Paritosh Prasad MD
Other Resources UpToDate PubMed

Synopsis

Hepatic hemangiomas, also known as cavernous hemangiomas, are common benign mesenchymal tumors of the liver. The majority of hepatic hemangiomas are solitary and can range in size from a few millimeters to over 20 cm (giant hemangiomas). Prevalence of hepatic hemangiomas range from 0.4%-20%, with diagnosis most frequently between the third and fifth decade of life.

Most hepatic hemangiomas are asymptomatic and are incidental findings on abdominal imaging. Larger lesions are more likely to cause symptoms, including abdominal pain (especially in the upper right quadrant), nausea, and anorexia. Women are 3 times as likely to develop hemangiomas and are more likely to experience symptoms. The etiology of hepatic hemangiomas is unclear, but hormonal influence over tumor enlargement may explain the higher incidence of symptomatic lesions in women. Lesions may grow during pregnancy and in the setting of oral contraceptive therapy. Surgical resection may be necessary for patients experiencing pain.

Codes

ICD10CM:
D18.09 – Hemangioma of other sites

SNOMEDCT:
93469006 – Hemangioma of liver

Look For

Subscription Required

Diagnostic Pearls

Subscription Required

Differential Diagnosis & Pitfalls

To perform a comparison, select diagnoses from the classic differential

Subscription Required

Best Tests

Subscription Required

Management Pearls

Subscription Required

Therapy

Subscription Required

Drug Reaction Data

Subscription Required

References

Subscription Required

Last Reviewed:01/07/2018
Last Updated:01/07/2018
Copyright © 2026 VisualDx®. All rights reserved.
Hepatic hemangioma
A medical illustration showing key findings of Hepatic hemangioma : Hepatic mass on ultrasound, RUQ pain
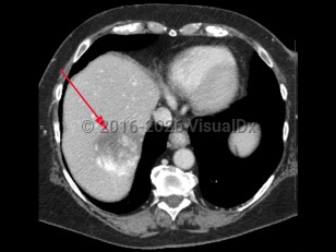
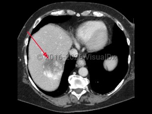
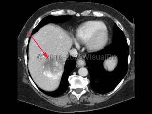
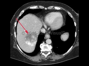
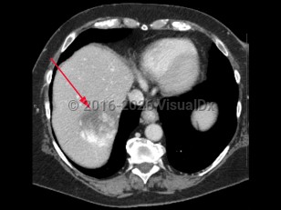
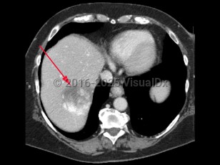
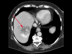
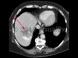
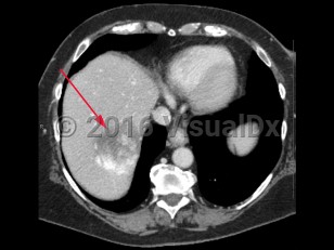
Imaging Studies image of Hepatic hemangioma - imageId=8340259. Click to open in gallery.  caption: '<span>Contrast enhanced axial CT scan of the abdomen demonstrates a mass in the right lobe of the liver with peripheral enhancement, consistent with hepatic hemangioma.</span>'
Contrast enhanced axial CT scan of the abdomen demonstrates a mass in the right lobe of the liver with peripheral enhancement, consistent with hepatic hemangioma.
Copyright © 2026 VisualDx®. All rights reserved.