Teratoma of ovary
Alerts and Notices
Important News & Links
Synopsis
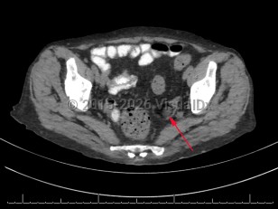
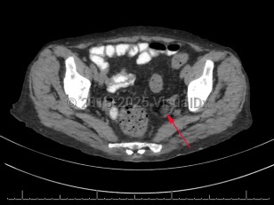
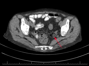
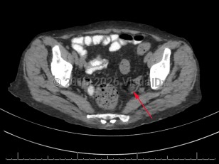
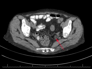
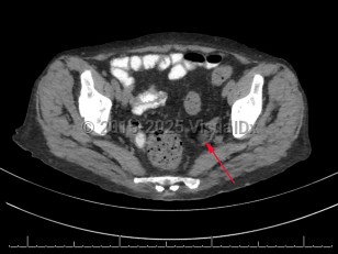
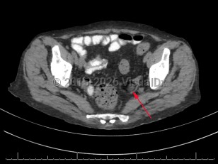
Teratoma of the ovary is a teratoma that may be cystic. It is composed entirely of well differentiated, adult-type tissues, without evidence of fetal-type tissues. It is almost always benign. See ovarian cysts for information on functional and other ovarian cysts.
Codes
ICD10CM:
D27.9 – Benign neoplasm of unspecified ovary
SNOMEDCT:
716077006 – Teratoma of ovary
D27.9 – Benign neoplasm of unspecified ovary
SNOMEDCT:
716077006 – Teratoma of ovary
Look For
Subscription Required
Diagnostic Pearls
Subscription Required
Differential Diagnosis & Pitfalls
To perform a comparison, select diagnoses from the classic differential
Subscription Required
Best Tests
Subscription Required
Management Pearls
Subscription Required
Therapy
Subscription Required
References
Subscription Required
Last Reviewed:09/28/2017
Last Updated:10/08/2017
Last Updated:10/08/2017
Teratoma of ovary
