Extrinsic allergic alveolitis
Alerts and Notices
Important News & Links
Synopsis
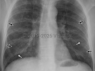
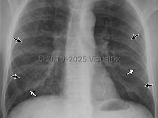
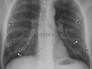
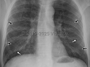
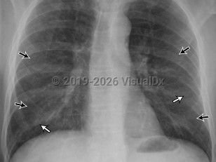
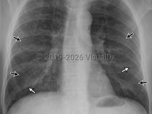
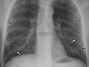
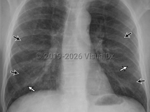
Extrinsic allergic alveolitis manifests acutely with sudden-onset chest pain, cough, dyspnea, and fever following exposure to antigens. Headache, bibasilar crackles, inspiratory crackles, and malaise develop within 4-6 hours after exposure and may clear within 24 hours after removing the offending substance.
The subacute form manifests gradually and less severely and may recur infrequently. A chronic form, present in half of patients, is characterized by an insidious onset of cough, fatigue, progressive dyspnea, and weight loss. Tachypnea, respiratory distress, and clubbing portend a poor prognosis.
Longer exposure and greater intensity of exposure to bird antigens, development of digital clubbing, and older age all suggest a worsening of lung function and poorer prognosis.
The first line of therapy is avoidance of the antigen causing the exaggerated immune response. When identification of the offending antigen is made quickly and exposure has been of shorter duration, complete recovery has been reported.
Codes
J67.9 – Hypersensitivity pneumonitis due to unspecified organic dust
SNOMEDCT:
37471005 – Extrinsic allergic alveolitis
Look For
Subscription Required
Diagnostic Pearls
Subscription Required
Differential Diagnosis & Pitfalls
Subscription Required
Best Tests
Subscription Required
Management Pearls
Subscription Required
Therapy
Subscription Required
Drug Reaction Data
Subscription Required
References
Subscription Required
Last Updated:03/23/2020
