Contents

SynopsisCodesLook ForDiagnostic PearlsDifferential Diagnosis & PitfallsBest TestsManagement PearlsTherapyDrug Reaction DataReferences

View all Images (4)

Colonic polyps
Other Resources UpToDate PubMed

Colonic polyps

Contributors: Michael W. Winter MD, Nishant H. Patel MD, Desiree Rivera-Nieves MD, Khaled Bittar MD
Other Resources UpToDate PubMed

Synopsis

A colonic polyp is an endoscopically visible mucosal protrusion that may be classified as a non-neoplastic hamartoma or juvenile polyp, a hyperplastic mucosal proliferation, a hyperplastic polyp, or an adenomatous polyp. Most colorectal cancers arise from adenomatous polyps. Approximately 30% of adults in middle-age and approximately 50% of adults aged 70 and older have adenomatous polyps, although less than 1% of these polyps will develop into cancer. The risk of an adenomatous polyp developing into cancer depends on its size, shape, and histology. Adenomatous polyps may be pedunculated (attached by an elongated stalk of tissue) or sessile (without stalk); sessile polyps are more likely to develop into colorectal adenocarcinoma.

Histologically, polyps may be tubular, villous, or tubulovillous. Villous adenomas are 3 times more likely to become malignant than tubular polyps. The likelihood that a polyp contains invasive cancer increases with the size of the polyp. Most polyps remain asymptomatic and are detected during routine screening colonoscopy. Less than 5% of polyps lead to bleeding.

Once an adenomatous polyp has been detected, the entire colon should undergo surveillance for polyp detection. Colonoscopy should be repeated based on the number and histology of previously discovered polyps. Family history and certain disease processes (eg, ulcerative colitis, familial adenomatous polyposis) can impact surveillance colonoscopy recommendations as well.

Codes

ICD10CM:
K63.5 – Polyp of colon

SNOMEDCT:
68496003 – Polyp of colon

Look For

Subscription Required

Diagnostic Pearls

Subscription Required

Differential Diagnosis & Pitfalls

To perform a comparison, select diagnoses from the classic differential

Subscription Required

Best Tests

Subscription Required

Management Pearls

Subscription Required

Therapy

Subscription Required

Drug Reaction Data

Subscription Required

References

Subscription Required

Last Reviewed:04/19/2017
Last Updated:04/19/2017
Copyright © 2026 VisualDx®. All rights reserved.
Colonic polyps
A medical illustration showing key findings of Colonic polyps (Symptomatic) : Abdominal pain, Diarrhea, Constipation, Hematochezia, Tenesmus, Rectal bleeding
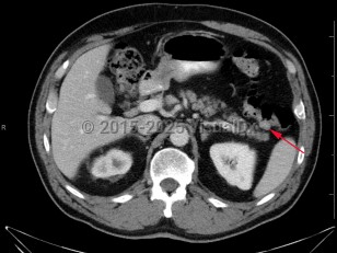
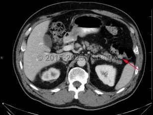
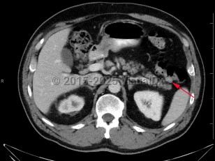
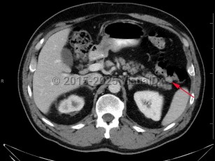
Imaging Studies image of Colonic polyps - imageId=7904556. Click to open in gallery.  caption: '<span>Axial CT image demonstrates a  soft tissue density at the splenic flexure. Subsequent colonoscopy  findings were consistent with colonic polyp.</span>'
Axial CT image demonstrates a soft tissue density at the splenic flexure. Subsequent colonoscopy findings were consistent with colonic polyp.
Copyright © 2026 VisualDx®. All rights reserved.