Mycoplasma pneumonia
Alerts and Notices
Important News & Links
Synopsis
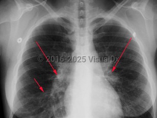
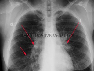
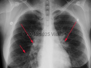
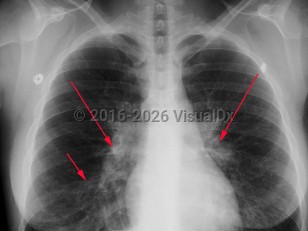
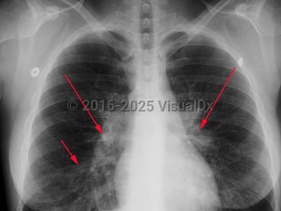
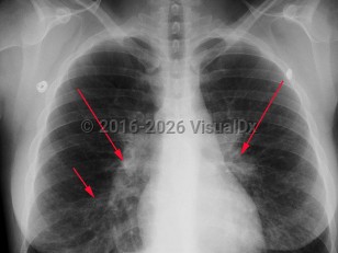
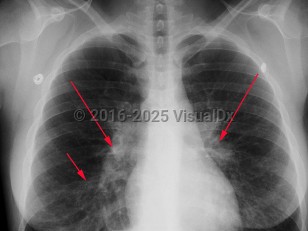
Mycoplasma pneumonia, also called atypical pneumonia and "walking pneumonia," is a community-acquired pneumonia caused by Mycoplasma pneumoniae. Mycoplasma are pleomorphic, filamentous bacteria that lack a cell wall, are of a smaller size, and possess different genetic features than other bacteria. Of all the Mycoplasma spp isolated from the respiratory tract, M pneumoniae is the most frequent cause of human disease.
Mycoplasma pneumoniae is a common cause of pneumonia and may be responsible for up to 20% of all pneumonias in the general population and 30%-50% of pneumonias in specific closed populations such as those in military barracks and on college campuses. Infection is most common in those younger than 20, although it is seen in all age groups. The disease is seen throughout the year, with a slight increase in incidence in the fall and winter.
Patients typically present with a dry, sometimes paroxysmal, cough; fever; headache; and malaise. They generally appear well to moderately ill and are rarely toxic appearing. Up to 50% of patients also present with upper respiratory involvement with a sore throat and earache. Hemorrhagic or bullous myringitis may be seen in those presenting with an earache. Mycoplasma exanthems frequently occur and can be a diagnostic clue.
Extrapulmonary findings are not uncommon and may include meningoencephalitis, meningitis, cranial nerve palsies, transverse myelitis, hemolysis related to cold agglutinins, myocarditis, pericarditis, hepatitis, gastroenteritis, pancreatitis, glomerulonephritis, arthralgias, and erythema multiforme. These extrapulmonary findings may present up to 3 weeks after the respiratory symptoms.
Infection is usually spread from person to person by droplet transmission. There is typically a 2- to 3-week incubation period. The majority of disease is mild, resolving in 7-10 days. Rarely, a more severe illness can occur that results in respiratory failure, acute respiratory distress syndrome, or necrotizing pneumonia.
Related topic: reactive infectious mucocutaneous eruption
Mycoplasma pneumoniae is a common cause of pneumonia and may be responsible for up to 20% of all pneumonias in the general population and 30%-50% of pneumonias in specific closed populations such as those in military barracks and on college campuses. Infection is most common in those younger than 20, although it is seen in all age groups. The disease is seen throughout the year, with a slight increase in incidence in the fall and winter.
Patients typically present with a dry, sometimes paroxysmal, cough; fever; headache; and malaise. They generally appear well to moderately ill and are rarely toxic appearing. Up to 50% of patients also present with upper respiratory involvement with a sore throat and earache. Hemorrhagic or bullous myringitis may be seen in those presenting with an earache. Mycoplasma exanthems frequently occur and can be a diagnostic clue.
Extrapulmonary findings are not uncommon and may include meningoencephalitis, meningitis, cranial nerve palsies, transverse myelitis, hemolysis related to cold agglutinins, myocarditis, pericarditis, hepatitis, gastroenteritis, pancreatitis, glomerulonephritis, arthralgias, and erythema multiforme. These extrapulmonary findings may present up to 3 weeks after the respiratory symptoms.
Infection is usually spread from person to person by droplet transmission. There is typically a 2- to 3-week incubation period. The majority of disease is mild, resolving in 7-10 days. Rarely, a more severe illness can occur that results in respiratory failure, acute respiratory distress syndrome, or necrotizing pneumonia.
Related topic: reactive infectious mucocutaneous eruption
Codes
ICD10CM:
J15.7 – Pneumonia due to Mycoplasma pneumoniae
SNOMEDCT:
46970008 – Mycoplasma pneumonia
J15.7 – Pneumonia due to Mycoplasma pneumoniae
SNOMEDCT:
46970008 – Mycoplasma pneumonia
Look For
Subscription Required
Diagnostic Pearls
Subscription Required
Differential Diagnosis & Pitfalls
To perform a comparison, select diagnoses from the classic differential
Subscription Required
Best Tests
Subscription Required
Management Pearls
Subscription Required
Therapy
Subscription Required
References
Subscription Required
Last Reviewed:03/30/2025
Last Updated:04/02/2025
Last Updated:04/02/2025
Mycoplasma pneumonia
