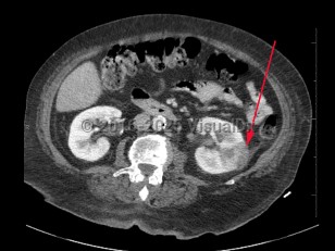
Pyelonephritis
Alerts and Notices
Important News & Links
Synopsis
Patients with abnormalities of the urinary tract (including children with vesicoureteral reflux) are at increased risk for this infection. Pregnancy and renal transplant also increase the risk of pyelonephritis.
Patients with bloodstream infection with certain pathogens including Staphylococcus aureus or Candida species are at risk for hematogenous seeding of the kidneys.
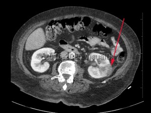
Patients present with a triad of flank pain, fever, and nausea / vomiting. There are often associated symptoms including dysuria, urinary urgency, or urinary frequency. The patient can also have concurrent noninfectious complicating conditions like renal calculi and renal infarction. Gross hematuria may occasionally be seen. Patients with spinal cord injury or dementia may present atypically, but fever is expected to be present in cases of pyelonephritis. Examination may reveal costovertebral angle tenderness.
Complications of pyelonephritis include progression to sepsis and septic shock and, in rare cases, papillary necrosis, renal abscess, and perinephric abscess.
Related topic: urinary tract infection
Codes
N12 – Tubulo-interstitial nephritis, not specified as acute or chronic
SNOMEDCT:
45816000 – Pyelonephritis
Look For
Subscription Required
Diagnostic Pearls
Subscription Required
Differential Diagnosis & Pitfalls
Subscription Required
Best Tests
Subscription Required
Management Pearls
Subscription Required
Therapy
Subscription Required
Drug Reaction Data
Subscription Required
References
Subscription Required
Last Updated:09/25/2024
