Metastatic pancreatic carcinoma
Alerts and Notices
Important News & Links
Synopsis
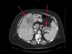
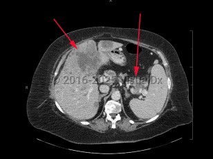
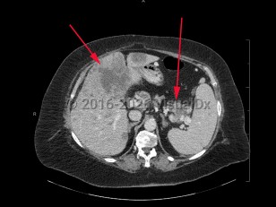
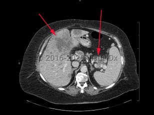
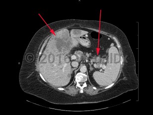
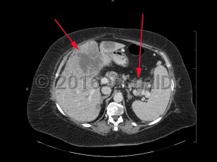
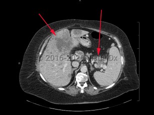
Metastatic pancreatic carcinoma is cancer arising from the pancreas that has spread to a distant location such as the liver, peritoneum, mesentery, mesenteric lymph nodes, and surrounding vasculature. The majority (95%) of malignant pancreatic carcinoma arises from the exocrine pancreas (related to the pancreatic ductal and acinar cells and their stem cells).
Pancreatic cancer is the seventh leading cause of cancer-related deaths in the world, which may be related to the fact that at the time of diagnosis, most pancreatic cancers have already spread outside of the pancreatic parenchyma.
Pancreatic tumors arising from the head and neck of the pancreas (60%-70% of exocrine pancreatic cancers) may spread locally to the celiac axis or the peripancreatic and periportal areas. Pancreatic tumors arising from the tail of the pancreas (20%-25% of exocrine pancreatic cancers) may spread to the common hepatic artery, celiac axis, splenic hilum, or splenic artery. Patients with spread to the mesentery may present with ascites.
The most common presenting symptoms in patients ultimately found to have metastatic pancreatic cancer include generalized weakness (asthenia) and weight loss and anorexia (83%-86%). Abdominal pain is also very common (71%-79%). A little over half of patients will present with jaundice.
Pancreatic cancer is the seventh leading cause of cancer-related deaths in the world, which may be related to the fact that at the time of diagnosis, most pancreatic cancers have already spread outside of the pancreatic parenchyma.
Pancreatic tumors arising from the head and neck of the pancreas (60%-70% of exocrine pancreatic cancers) may spread locally to the celiac axis or the peripancreatic and periportal areas. Pancreatic tumors arising from the tail of the pancreas (20%-25% of exocrine pancreatic cancers) may spread to the common hepatic artery, celiac axis, splenic hilum, or splenic artery. Patients with spread to the mesentery may present with ascites.
The most common presenting symptoms in patients ultimately found to have metastatic pancreatic cancer include generalized weakness (asthenia) and weight loss and anorexia (83%-86%). Abdominal pain is also very common (71%-79%). A little over half of patients will present with jaundice.
Codes
ICD10CM:
C25.9 – Malignant neoplasm of pancreas, unspecified
SNOMEDCT:
363418001 – Malignant tumor of pancreas
C25.9 – Malignant neoplasm of pancreas, unspecified
SNOMEDCT:
363418001 – Malignant tumor of pancreas
Look For
Subscription Required
Diagnostic Pearls
Subscription Required
Differential Diagnosis & Pitfalls
To perform a comparison, select diagnoses from the classic differential
Subscription Required
Best Tests
Subscription Required
Management Pearls
Subscription Required
Therapy
Subscription Required
References
Subscription Required
Last Reviewed:07/14/2020
Last Updated:07/14/2020
Last Updated:07/14/2020
Metastatic pancreatic carcinoma
