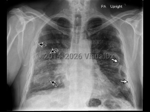
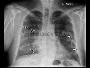
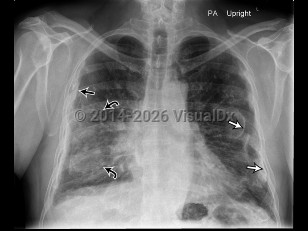
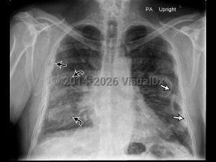
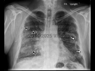
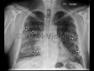
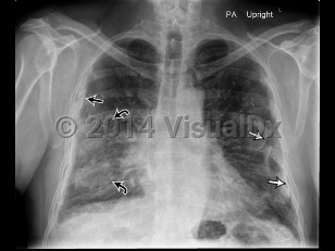
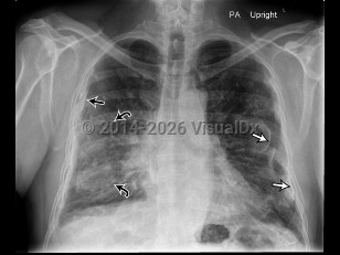
Asbestosis
Alerts and Notices
Important News & Links
Synopsis

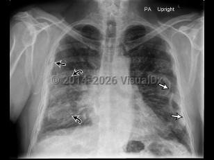
Asbestosis is a fibrotic lung disease resulting from extensive inhalation of asbestos fibers. Symptoms include insidious onset of cough, dyspnea, and chest discomfort. Pleural effusions and mesothelioma are associated disorders. Latency between exposure to asbestos and development of disease is typically at least 20 years, making diagnosis difficult.
Codes
ICD10CM:
J61 – Pneumoconiosis due to asbestos and other mineral fibers
SNOMEDCT:
22607003 – Asbestosis
J61 – Pneumoconiosis due to asbestos and other mineral fibers
SNOMEDCT:
22607003 – Asbestosis
Look For
Subscription Required
Diagnostic Pearls
Subscription Required
Differential Diagnosis & Pitfalls
To perform a comparison, select diagnoses from the classic differential
Subscription Required
Best Tests
Subscription Required
Management Pearls
Subscription Required
Therapy
Subscription Required
References
Subscription Required
Last Reviewed:05/07/2019
Last Updated:05/12/2019
Last Updated:05/12/2019
Asbestosis
