Contents

SynopsisCodesLook ForDiagnostic PearlsDifferential Diagnosis & PitfallsBest TestsManagement PearlsTherapyDrug Reaction DataReferences

View all Images (26)

Pneumocystis jirovecii pneumonia
See also in: Pulmonary
Other Resources UpToDate PubMed

Pneumocystis jirovecii pneumonia

See also in: Pulmonary
Contributors: Neil Mendoza MD, Paritosh Prasad MD, Susan Voci MD, Sumanth Rajagopal MD, William Bonnez MD
Other Resources UpToDate PubMed

Synopsis

Pneumocystis jirovecii, formerly known as Pneumocystis carinii, is the causative agent of Pneumocystis pneumonia (PCP), a disease almost exclusively seen in patients with a compromised immune system (eg, sarcoidosis). Both cell-mediated and humoral immunity are important in control of this infection.

The distribution of the organism is worldwide, and most healthy children are exposed to it within the first 3 years of life, likely due to the inhalation of airborne spores. Some people exposed to P. jirovecii may remain colonized.

Disease manifestations are seen in the setting of immunosuppression.  

Outbreaks of PCP among men who have sex with men heralded the onset of the human immunodeficiency virus (HIV) epidemic. PCP is an AIDS-defining illness and is typically seen in patients infected with HIV with a CD4 cell count of <200/mm3. With improvements in antiretroviral therapy and routine prophylaxis against P. jirovecii in patients infected with HIV and low CD4 cell count, the incidence of infection in this population has decreased, although it remains an important pathogen.

Patients with certain primary immunodeficiencies, including those with severe combined immunodeficiency, are at risk for PCP. Other patients are also at particular risk for PCP due to therapeutic immunosuppression. These include solid organ and autologous and allogenic stem cell transplant recipients. Hospital outbreaks of PCP on solid organ transplantation units have been reported. Patients taking high-dose glucocorticoids (generally considered 20 mg/day for 4 weeks) or other immunosuppressive agents (including tumor necrosis factor-alpha inhibitors) for connective tissue disease, inflammatory bowel disease, or dermatologic conditions are also at increased risk for PCP. Patients undergoing therapy for leukemia or who are receiving T cell-depleting agents or rituximab for other malignancies are also at risk for PCP.

Typical onset in patients with HIV is insidious with a fever, dry cough, and progressive shortness of breath with exertion. There may be associated chest pain. Hemoptysis is not typical. Symptoms may progress for weeks or months before patients seek medical care.

The symptoms are typically more acute in onset and more severe in non-HIV-infected patients. These patients may present with respiratory failure.

Physical examination usually reveals fever, tachycardia, and tachypnea. Breath sounds are often normal, but in up to one-third of adults, rales are present. Impaired oxygenation is a common finding, particularly with ambulation, with varying degrees of hypoxemia and elevated alveolar-arterial (A-a) oxygen gradient.

Codes

ICD10CM:
B59 – Pneumocystosis

SNOMEDCT:
79909001 – Pneumocystis carinii

Look For

Subscription Required

Diagnostic Pearls

Subscription Required

Differential Diagnosis & Pitfalls

To perform a comparison, select diagnoses from the classic differential

Subscription Required

Best Tests

Subscription Required

Management Pearls

Subscription Required

Therapy

Subscription Required

Drug Reaction Data

Subscription Required

References

Subscription Required

Last Updated:08/06/2023
Copyright © 2026 VisualDx®. All rights reserved.
Pneumocystis jirovecii pneumonia
See also in: Pulmonary
A medical illustration showing key findings of Pneumocystis jirovecii pneumonia : Fever, Dyspnea, Dry cough, HR increased, RR increased
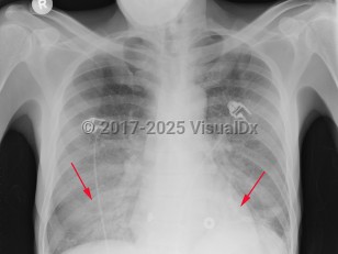
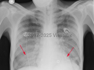
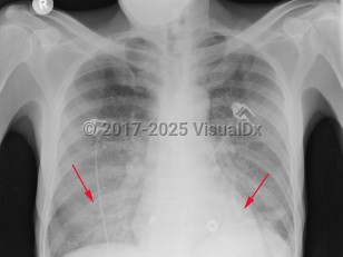
Imaging Studies image of Pneumocystis jirovecii pneumonia - imageId=2956223. Click to open in gallery.  caption: 'Frontal chest x-ray with diffuse, bilateral ground glass opacities with progression to air space consolidation, worse in the lower lobes.'
Frontal chest x-ray with diffuse, bilateral ground glass opacities with progression to air space consolidation, worse in the lower lobes.
Copyright © 2026 VisualDx®. All rights reserved.