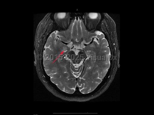
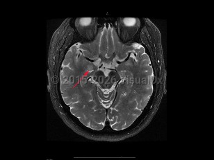
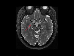
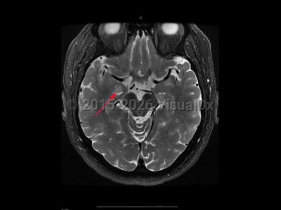
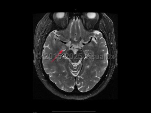
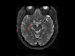
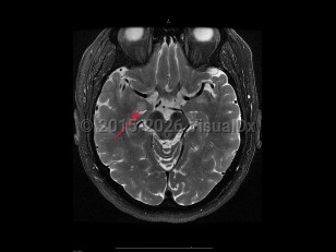
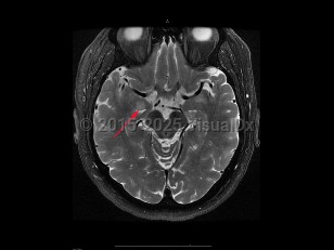
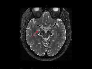
Encephalitis refers to direct inflammation of brain tissue. Patients present with abnormalities in brain function, altered mental status, personality changes, behavioral changes, sensory deficits, motor deficits, and speech disorders. Other manifestations include hemiparesis, flaccid paralysis, seizures, and paresthesias.
To distinguish encephalitis from other causes of encephalopathy, core components of the presentation of encephalitis include the presence of fever (within 72 hours before or after presentation), cerebrospinal fluid (CSF) pleocytosis (≥ 5 /mm3), or MRI or electroencephalogram (EEG) changes consistent with encephalitis.
Encephalitis is often secondary to a virus but may be caused by bacteria, fungi, or toxins. Three of the most common etiologic agents for acute encephalitis are viral including herpes simplex virus (HSV), varicella-zoster virus (VZV), and enterovirus. Alternatively, encephalitis can be caused by autoimmune conditions (anti-NMDAR encephalitis, lupus cerebritis) or inflammatory or paraneoplastic conditions, or be a consequence of stem cell transplant. Patients with encephalitis may also have concomitant meningitis (meningoencephalitis).
Mimics of encephalitis include systemic infections without direct central nervous system (CNS) infection, metabolic derangements, toxic exposures, vascular disease, and some inflammatory states.
Related topics: Behçet syndrome, antibody-mediated encephalitis, viral encephalitides (see also California encephalitis group, Oropouche fever, Venezuelan equine encephalitis, Western equine encephalitis, Eastern equine encephalitis, St. Louis encephalitis, Japanese encephalitis, West Nile virus), varicella, herpes zoster
Emergency: requires immediate attention
Encephalitis
Alerts and Notices
Important News & Links
Synopsis
Codes
ICD10CM:
G04.90 – Encephalitis and encephalomyelitis, unspecified
SNOMEDCT:
45170000 – Encephalitis
G04.90 – Encephalitis and encephalomyelitis, unspecified
SNOMEDCT:
45170000 – Encephalitis
Look For
Subscription Required
Diagnostic Pearls
Subscription Required
Differential Diagnosis & Pitfalls
To perform a comparison, select diagnoses from the classic differential
Subscription Required
Best Tests
Subscription Required
Management Pearls
Subscription Required
Therapy
Subscription Required
References
Subscription Required
Last Reviewed:01/20/2020
Last Updated:02/15/2024
Last Updated:02/15/2024
Emergency: requires immediate attention
Encephalitis
