Potentially life-threatening emergency
Hantavirus cardiopulmonary syndrome
Alerts and Notices
Important News & Links
Synopsis
Emergent Care / Stabilization:
After the onset of cardiopulmonary symptoms, immediate intensive care is imperative, and patients may require mechanical ventilation. Monitor fluid balance, electrolyte balance, and blood pressure carefully.
Diagnosis Overview:
Hantaviruses are single-strand RNA viruses and are members of the Hantaviridae family. Hantavirus produces 2 different syndromes depending on the strain: hantavirus cardiopulmonary syndrome (HCPS), also known as hantavirus pulmonary syndrome (HPS), and hemorrhagic fever with renal syndrome (HFRS). Both are zoonotic infections with rodents as their natural host. Natural infection is acquired by inhalation of an aerosol or dust containing rodent excreta and by rodent bites. The mortality rate of HCPS is 50%; HFRS has a mortality rate of only 5%.
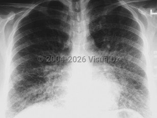
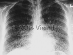
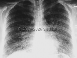
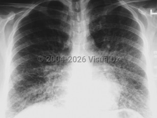
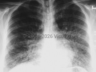
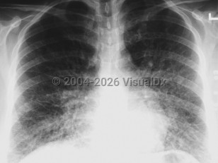
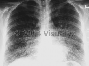
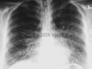
The incubation period for HCPS is 1-6 weeks but usually lasts for 2 weeks. Initial symptoms include the sudden onset of 3-5 days of fever, dry cough, fatigue, dizziness, myalgia, headaches, chills, nausea, vomiting, and abdominal complaints. The gastrointestinal symptoms can at times be severe and mimic surgical emergencies such as appendicitis, cholecystitis, or diverticulitis. Arthralgias and back pain occur less frequently. The disease progresses rapidly to fever, severe coughing, dyspnea, tachypnea, tachycardia, rales, diffuse pulmonary edema, acute respiratory distress syndrome (ARDS), and death. Rarely, some patients may develop disseminated intravascular coagulation (DIC). At the time most patients seek medical care, they usually require immediate intubation and mechanical ventilation.
Hantavirus disease was first identified in the southwestern United States in 1993. Since that time, more than 860 US cases of HCPS and nonpulmonary infection have been reported. In 2022, there were 13 total cases across 11 states. In 2025, 3 fatalities in Mono County, California, were reported earlier in the year than is typical (usually late spring or summer).
There are 4 major hantavirus strains in North America: Sin Nombre, which is carried by the deer mouse (found throughout North America); Black Creek Canal, which is carried by the cotton rat (found in the southeastern United States and Central and South America); New York, which is carried by the white-footed mouse (found in southern New England, the mid-Atlantic, southern, midwestern, and western United States, and Mexico), and Bayou, which is carried by the rice rat (found in the southeastern United States and Central America). The common house mouse and house pets do not carry hantaviruses. Person-to-person transmission has not been documented except for Andes hantavirus (ANDV) (endemic in Chile and Argentina; the only hantavirus for which person-to-person transmission has been reported). At present, no vaccine is available.
Some farm and domestic workers, building and fire inspectors, hikers, campers, laboratory workers, mammalogists, pest-control workers, and people who enter or clean rodent-infested structures are susceptible to contracting HCPS.
Note: Use HEPA or N-95 filter mask and gloves when handling rodents or traps or when cleaning large deposits of rodent excreta. Air out and disinfect rodent-infected areas with a solution of 1 part bleach in 9 parts water.
After the onset of cardiopulmonary symptoms, immediate intensive care is imperative, and patients may require mechanical ventilation. Monitor fluid balance, electrolyte balance, and blood pressure carefully.
Diagnosis Overview:
Hantaviruses are single-strand RNA viruses and are members of the Hantaviridae family. Hantavirus produces 2 different syndromes depending on the strain: hantavirus cardiopulmonary syndrome (HCPS), also known as hantavirus pulmonary syndrome (HPS), and hemorrhagic fever with renal syndrome (HFRS). Both are zoonotic infections with rodents as their natural host. Natural infection is acquired by inhalation of an aerosol or dust containing rodent excreta and by rodent bites. The mortality rate of HCPS is 50%; HFRS has a mortality rate of only 5%.
The incubation period for HCPS is 1-6 weeks but usually lasts for 2 weeks. Initial symptoms include the sudden onset of 3-5 days of fever, dry cough, fatigue, dizziness, myalgia, headaches, chills, nausea, vomiting, and abdominal complaints. The gastrointestinal symptoms can at times be severe and mimic surgical emergencies such as appendicitis, cholecystitis, or diverticulitis. Arthralgias and back pain occur less frequently. The disease progresses rapidly to fever, severe coughing, dyspnea, tachypnea, tachycardia, rales, diffuse pulmonary edema, acute respiratory distress syndrome (ARDS), and death. Rarely, some patients may develop disseminated intravascular coagulation (DIC). At the time most patients seek medical care, they usually require immediate intubation and mechanical ventilation.
Hantavirus disease was first identified in the southwestern United States in 1993. Since that time, more than 860 US cases of HCPS and nonpulmonary infection have been reported. In 2022, there were 13 total cases across 11 states. In 2025, 3 fatalities in Mono County, California, were reported earlier in the year than is typical (usually late spring or summer).
There are 4 major hantavirus strains in North America: Sin Nombre, which is carried by the deer mouse (found throughout North America); Black Creek Canal, which is carried by the cotton rat (found in the southeastern United States and Central and South America); New York, which is carried by the white-footed mouse (found in southern New England, the mid-Atlantic, southern, midwestern, and western United States, and Mexico), and Bayou, which is carried by the rice rat (found in the southeastern United States and Central America). The common house mouse and house pets do not carry hantaviruses. Person-to-person transmission has not been documented except for Andes hantavirus (ANDV) (endemic in Chile and Argentina; the only hantavirus for which person-to-person transmission has been reported). At present, no vaccine is available.
Some farm and domestic workers, building and fire inspectors, hikers, campers, laboratory workers, mammalogists, pest-control workers, and people who enter or clean rodent-infested structures are susceptible to contracting HCPS.
Note: Use HEPA or N-95 filter mask and gloves when handling rodents or traps or when cleaning large deposits of rodent excreta. Air out and disinfect rodent-infected areas with a solution of 1 part bleach in 9 parts water.
Codes
ICD10CM:
B33.4 – Hantavirus (cardio)-pulmonary syndrome
SNOMEDCT:
120639003 – Hantavirus pulmonary syndrome
B33.4 – Hantavirus (cardio)-pulmonary syndrome
SNOMEDCT:
120639003 – Hantavirus pulmonary syndrome
Look For
Subscription Required
Diagnostic Pearls
Subscription Required
Differential Diagnosis & Pitfalls
To perform a comparison, select diagnoses from the classic differential
Subscription Required
Best Tests
Subscription Required
Management Pearls
Subscription Required
Therapy
Subscription Required
References
Subscription Required
Last Reviewed:07/28/2025
Last Updated:08/06/2025
Last Updated:08/06/2025
Potentially life-threatening emergency
Hantavirus cardiopulmonary syndrome
