Acute decompensated heart failure (ADHF) in the crashing patient:
- Airway / Breathing: Often, positive end-expiratory pressure (PEEP) is required via a continuous positive airway pressure (CPAP) or bilevel positive airway pressure (BiPAP) machine for increased work of breathing, hypoxia, or evidence of pulmonary edema on examination or imaging.
- Circulation: Often, the patient presents as hypertensive (> 180/110); use aggressive vasodilators such as sublingual nitroglycerin (NTG) (paste takes 30 minutes to onset) or an NTG drip.
Diagnosis Overview:
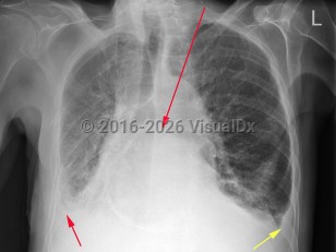
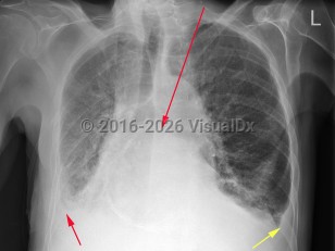
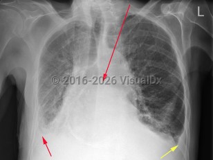
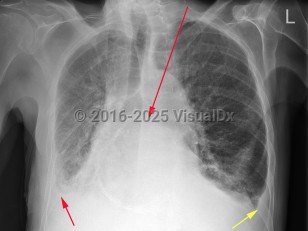
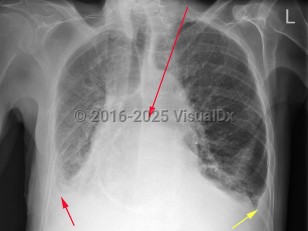
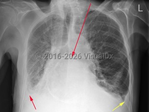
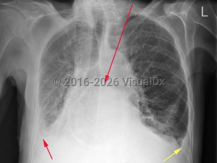
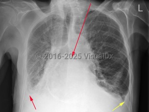
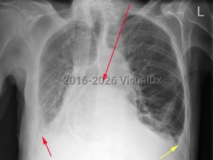
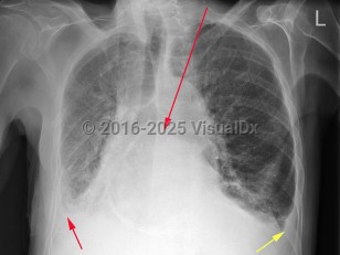
Heart failure (HF) is a clinical syndrome caused by any structural or functional cardiac impairment leading to the inability of the heart to pump enough blood to meet the body's demand. HF presents with fatigue, dyspnea on exertion, orthopnea, and fluid retention (peripherally or pulmonary).
Symptoms may include not being able to walk as far as previously; needing to sleep on more pillows; waking up from sleep gasping (paroxysmal nocturnal dyspnea); clothes or shoes feeling tighter; nonproductive cough, especially when lying flat; and early satiety. HF is broken down into the following classifications:
- Reduced ejection fraction (EF):
- HF with reduced EF (HFrEF): systolic HF (left ventricular ejection fraction [LVEF] 40% or below)
- HF with improved EF (HFimpEF): previous HFrEF on therapy and LVEF 40% or above
- Mid-range EF:
- HF with mildly reduced EF or mid-range EF (HFmrEF): HF with LVEF between 40% and 50%
- Requires serial monitoring to project trajectory over time and further objective measures
- Impaired ventricular filling:
- HF with preserved EF (HFpEF): diastolic HF (LVEF 50% or above)
- At least 50% of cases and prevalence is increasing
- Stage A: at risk for HF
- Stage B: pre-HF
- Stage C: symptomatic HF
- State D: advanced HF
- Characterizes symptoms and functional capacity of symptomatic and advanced HF
- Independent predictor of mortality
- Class 1: no limitation of physical activity
- Class 2: slight limitation of physical activity
- Class 3: marked limitation of physical activity
- Class 4: symptoms with rest; discomfort with any activity
Other causes:
- Ischemic heart disease
- Valvular dysfunction, arrythmias, right ventricular (RV) pacing, cardiomyopathies (ie, familial, genetic, postpartum), infection and inflammation (eg, myocarditis, HIV, COVID-19, Chagas disease), thyroid disease, autoimmune diseases (eg, sarcoidosis, amyloidosis), hemochromatosis, cardiotoxic medications (eg, chemotherapy)
- New annual diagnosis: approximately 500 000 patients per year.
- Mortality: approximately 300 000 individuals per year.
- Self-identified non-Hispanic Black patients have highest incidence of HF hospitalizations and mortality.
- Incidence is proportional to age and is higher in men, as women present later.
- Lifetime risk of development is approximately 20% in those 40 years and older.
- Survival median time once classified as NYHA class 3 is 1.7 years for men and 3.2 years for women, with a 5-year survival rate of 25% and 38%, respectively.
