Contents

SynopsisCodesBest TestsReferences

View all Images (6)

Other Resources UpToDate PubMed

Thymoma

Other Resources UpToDate PubMed

Synopsis

Rare tumor of the thymus, arising in the anterior mediastinum from thymic epithelial cells and lymphocytes. Mostly benign, but with a malignant and metastatic form. Onset is typically in the fifth and sixth decade; it rarely occurs in children. Associated disorders include myasthenia gravis (30%), pure red cell aplasia, hypogammaglobulinemia (Good syndrome), and other systemic diseases. Associated with autoimmune disease in approximately 40% of diagnosed adults. Signs and symptoms associated with tumor growth include neck mass, dyspnea, cough, chest pain, and muscle weakness.

Management aligns with clinical staging, according to the Masaoka system or the newer WHO classification. Treatment includes surgery, radiation, and chemotherapy.

Codes

ICD10CM:
C37 – Malignant neoplasm of thymus
D15.0 – Benign neoplasm of thymus

SNOMEDCT:
444231005 – Thymoma

Best Tests

Subscription Required

References

Subscription Required

Last Updated:06/15/2016
Copyright © 2026 VisualDx®. All rights reserved.
Thymoma
A medical illustration showing key findings of Thymoma : Chest pain, Cough, Muscle weakness, Dyspnea
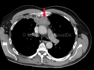
Imaging Studies image of Thymoma - imageId=6841586. Click to open in gallery.  caption: '<span>Contrast enhanced CT scan of chest with anterior mediastinal mass. <br /></span>'
Contrast enhanced CT scan of chest with anterior mediastinal mass.
Copyright © 2026 VisualDx®. All rights reserved.